Welcome to the official blog of The Brand Wellness Center. Please join us for holistic health news, inspirational insights and enlightening ideas on healing. Feel free to add your comments and share our blog with friends.

January 2, 2023

Vitamin D: How much do we need?

 

Vitamin D is an essential nutrient that helps regulate calcium and phosphorus in the body. It plays a major role in maintaining proper bone and tooth structure. Most recently, it has been implicated as a necessary nutrient to keep our immune system strong and is an important marker (need high blood values) in recovering from Covid.


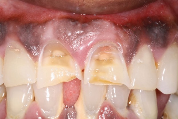
Demineralized teeth from Vitamin Deficiency


So if you have periodontal disease (gum inflammation and bone loss), rampant tooth decay, osteoporosis or immune issues, you should definitely get your Vitamin D levels evaluated. Healthy blood levels should be between 60 to 80 ng/ml. Conventional medicine says any number above 20 ng/ml is enough. It isn’t.


There are different forms of vitamin D: ergocalciferol (vitamin D2) and cholecalciferol (vitamin D3). Vitamin D3 is twice as effective as D2 and easier for your body to use.


Vitamin D is found in fish, eggs, and fortified milk. It's also made in our skin when exposed to sunlight. During periods of sunlight, vitamin D is stored in fat and then released when the body needs it and no sunlight is available. Without adequate vitamin D levels, your body will only absorb 10-15% of the calcium you eat from your diet. Health problems are sure to follow.


 

So how much Vitamin D do we need each day? According to this Pubmed research, doses of 800-5000 IU/day should be enough. Enough to prevent deficiency and obvious health problems. If your blood values are low (less than 30 ng/ml) you might need more. Also, bear in mind that Vitamin D is a fat soluble vitamin and needs to be taken with a fatty meal to maximize absorption. If you are just popping your vitamin D with a salad, you may be getting no benefit from the vitamin.


 

As an extra note, I want add that it is possible to overdo Vit D intake. Recent research has shown that high blood levels of Vitamin D ( more than 100 ng/ml) may cause hypercalcemia leading to calcification of soft tissues and blood vessels. This may result in cataracts, kidney issues (nausea, high blood pressure, excessive urination and thirst), fatigue, dehydration, muscle weakness, heart arrhythmia and dizziness.


Best to speak with your licensed health provider to determine how much supplementation you should take daily. Or bring your lab blood results to to your next dental visit, and I can guide you accordingly.

No comments:

Post a Comment

Note: Only a member of this blog may post a comment.